I SpectraCures fas 1-studie för behandling av återfallspatienter med prostatacancer har preliminära resultat för de senast behandlade patienterna nu rapporterats in. Behandlingsmetoden, så kallad fotodynamisk tumörbehandling (PDT), innebär att patienten ges ett ljusaktiverat läkemedel som ansamlas i tumören. När cancervävnaden belyses med hjälp av SpectraCures IDOSE-teknik aktiveras läkemedlet och tumören slås ut.
Behandlingseffekten utvärderas i studien med magnetkamerabilder (MR) en vecka efter behandlingen. Utvärderingen av MR-bilderna för de senast behandlade patienterna visar god effekt, vilket är i överensstämmelse med tidigare resultat på motsvarande dosnivå. De preliminära resultaten visar även att effekten i det behandlade området stämmer väl överens med behandlingsplanen i SpectraCures IDOSE-system.
– Resultaten är lovande, säger Johannes Swartling, teknisk chef. Preliminärt kan vi dra två viktiga slutsatser. För det första ser vi en tydlig dos-respons, det vill säga att behandlingseffekten beror av dosen på ett förutsägbart sätt. För det andra ger behandlingsplanen i IDOSE bra precision, även det på ett förutsägbart sätt.
– Vi ser en god behandlingseffekt och vävnadsdestruktion i tumörområdet, kommenterar dr Nathan Perlis, kirurgen som utförde behandlingen vid Princess Margaret Cancer Centre i Toronto.
Det ska understrykas att det huvudsakliga målet med fas 1-studien är att visa att SpectraCures behandlingsmetod är säker, och att fastställa rätt dosnivå. De preliminära resultaten antyder även att metoden har avsedd effekt, vilket är ett sekundärt mål för fas 1-studien.
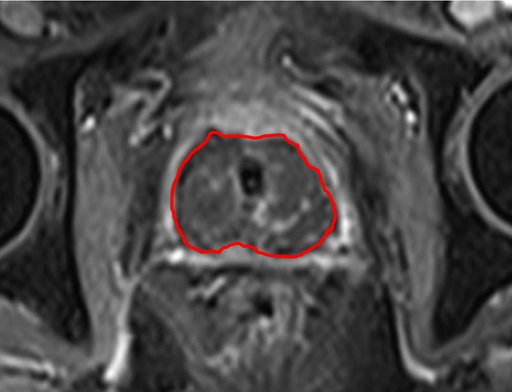
MR-bilder
Bild 1 visar effekten av behandlingen hos patient 9. Det mörka området som indikerar god behandlingseffekt täcker i detta fall hela prostatakörteln.
Bild 2 visar effekten av behandlingen hos patient 10. Behandlingen för patient 10 var fokal, dvs syftet var inte att behandla hela prostatakörteln, utan bara den del där tumören fanns. I bilden visas det som det mörka området i den nedre delen av prostatan. Den ljusa delen av prostatan i övre delen indikerar obehandlad vävnad.
Denna information är sådan information som SpectraCure AB är skyldigt att offentliggöra enligt EU:s marknadsmissbruksförordning. Informationen lämnades, genom nedanstående kontaktpersons försorg, för offentliggörande den 28 januari 2019.
För ytterligare information kontakta:
SpectraCure AB publ, vd, Masoud Khayyami, telefon: +46(0) 70 815 21 90
Certified Adviser är G&W Fondkommission, telefon: +46(0) 8 503 000 50

