At the PhotonicSweden Workshop on Photonics for Life Science and Regional Innovation Strategies in Kista on October 17th, the CTO of SpectraCure, Johannes Swartling, held a lecture on the company.
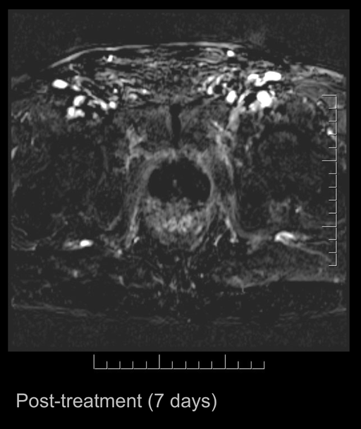
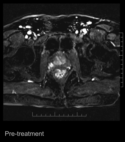
The company has previously announced that the last treated patient prior to treatment had a PSA value of 4.9 ng/ml and, upon revisiting after treatment, the value had fallen to 0.3 ng/ml, indicating that the cancer tumour was eradicated. At the lecture, Johannes Swartling showed images from the MRI scans that were made before and after treatment. These MRI images in combination with the measured changes in the PSA value represent a clear indication that the tumour has been eradicated and that the treatment has achived the intended effect.
The main objective of the study is to demonstrate that the SpectraCure treatment method is safe and to determine the correct dose level. The preliminary results also show that the method has had the intended effect, which is a secondary objcetive for the Phase 1 study.
The images are appended with this press release.
For further information, contact:
SpectraCure AB publ, CEO, Masoud Khayyami, phone: +46(0) 70 815 21 90
SpectraCure in short
SpectraCure was founded in 2003 as a spin off from Lund University departments for medical laser applications and physics. The company focuses on cancer treatments using medical systems with laser light sources and reactive drugs, which is referred to as "Interstitial Photodynamic Therapy", PDT, a treatment methodology suitable for internal solid tumours of various kind, e.g. prostate and abdominal salivary glands, but also other indications such as cancer of the head and neck.

